Redox-Forschung für Ihren Erfolg

Für den Fortschritt in der Medizin

und glückliche Patienten

Oxidation gegen Keime

 
Die Bekämpfung von Bakterien und andere Keime gerät immer mehr in Bedrängnis, sind biologische System in der Lage, fortlaufend Gegenmassnahmen auf künstlich erzeugte Anti-Mittel zu entwickeln.

Die Wissenschaft spricht heute sogar bereits von der "Post-Antibiotische Aera". Aus diesem Grund ist es essentiell, neue Verfahren zu finden, um pathologische Keime zu Behandeln. Und die Natur hat dies bereits im Angebot. Die Oxidation. Oxidation zählt zu den natürlichen und lebensnotwendigen Prozessen. Aus diesem Grunde können hier von den Organismen auch keine Gegenmassnahmen entwickelt werden, würden sie sich damit selber umbringen.

Oxidation

Unser Leben beruht auf einer unüberschaubaren Fülle von chemischen Reaktionen. Interessanterweise liefert unser Körper mit seinem wässerigen Milieu, niedrigem Druck und tiefen Temperaturen äusserst ungünstige thermodynamische Voraussetzungen für chemische Prozesse, so dass alle Reaktionen "künstlich" beschleunigt werden müssen. Diese Aufgabe erfüllen unsere Enzyme (Katalysatoren) und die freien Radikale. Freie Radikale werden auch als Oxidantien oder Oxidationsmittel bezeichnet, was in der Chemie nichts anderes bedeutet, als dass sie in der Lage sind, von anderen Atomen und Molekülen, Elektronen aus ihrer Atomhülle zu entreissen. Diese Eigenschaft liefert nicht nur die notwendige Energie für unseren Stoffwechsel (in diesem Sinne sind freie Radikale auch "gesund" und notwendig!), freie Radikale können auch Gewebe aber auch Bakterien und Viren angreifen und zerstören. Das Immunsystem, macht übrigens nichts anderes!

Wie kann ich mir das vorstellen?

Oxidationsmittel / freie Radikale entreissen Backsteine (Elektronen) aus den Wänden eines Gebäudes. Sobald ausreichende entfernt wurde bricht das Gebäude zusammen.

Leukozyten

Leukozyten stehen für "weisse" Blutkörperchen. Nun kann man sich die Fragen stellen, weshalb sind die wohl so weiss...? Weiss ist strahlende Energie, wie die Farbe der Sonne. Und tatschlich sind die Leukozyten vollbepackt mit "Energieteilchen". Und damit werden Sie richtige "Killermaschinen"! Wehe Bakterien und andere Mikroorganismen bis hin zu Tumorzellen wenn sie in die Nähe kommen. Da gibt es kein entrinnen. Die Leukozyten haben auch ein Radarsystem und werden zu den Orten, wo sie gebraucht werden, regelrecht angezogen.

Lc Um Fremdk%C3%B6rper

Hier sehen Sie massenhaft Leukozyten um einen Fremdkörper im Blut, welche dank der Oxidation mit der Zeit abgebaut wird. Klar zu sehen sind die kleinen weissen Einschlüsse, welche die "Oxidations-Waffen" bereitstellen. Deutlich im Gegensatz dazu sind die vielen roten Blutkörperchen, welche "leer" aussehen und für den Sauerstofftransport zuständig sind.

NatriumChlorit als Desinfektionsmittel

Wenn wir uns nicht nur auf unseren Leukozyten verlassen möchten, sondern zur Elimination von pathogenen Erregern bis hin zu Tumorzellen betragen möchten, dann ist das Konzept der pro-oxidativen Therapie sehr interessant.

Mit den Arbeiten von Prof. Robert Bradford und in den letzten Jahren auch Andreas Kalcker hat die Behandlung mit NatriumChlorit und Chlordioxid zunehmend an Aufmerksamkeit gewonnen. Bekannt ist Chlordioxid schon lange. Ob als Bleichmittel von Textilien und Papier, als Desinfektionsmittel für den Futtermittelbereich oder bei der industriellen Wasseraufbereitung zur Trinkwasserdesinfektion, die Einsatzmöglichkeiten sind vielseitig. Chlordioxid ist die chemische Verbindung von Natriumchlorit und einer Säure, z.B. Zitronensäure, Milchsäure oder Salzsäure. Als Mischung ergibt sich ein hoch wirksamer Stoff. Natriumchlorit, nicht zu verwechseln mit Natriumchlorid (Kochsalz), ist ein starkes Oxidationsmittel zur Erzeugung von Chlordioxid. Es sei darauf hingewiesen, dass Natriumchlorit alleine nur als Oxidationsmittel dient und erst in Verbindung mit einer Säure als Chlordioxid zum Anwendungsprodukt wird.

NatriumChlorit besteht aus der Molekularformel Na+ClO2-. In einem sauren Milieu wird es zu Chlordioxid umgewandelt. Dieses Molekül ist ein starkes Oxidans. Daneben wird Chlorgas freigesetzt was den charakteristischen Geruch und die gelbe Farbe der konzentrierten Lösung erzeugt. Diese Moleküle, Chlordioxid und Chlor sind bekanntlich wirksam gegen Bakterien, Viren und Pilze.

Die generelle Auffassung ist, dass Natriumchlorit erst durch die Ansäuerung in das wirksame Produkt, also das Chlordioxid umgewandelt wird. Dies ist sehr problematisch, als zunehmend eine Tendenz zu beobachten ist, wie immer mehr das sog. CDL (ChlorDioxidLösung) von Patienten eingenommen wird, gegen alle möglichen Krankheiten bis hin zu Krebs. Dies ist nicht unproblematisch, das die wahllose Oxidation auch die Gesundheit gefährden kann. Dieses Vorgehen kann damit verglichen werden, wie wenn die Trinkwasserversorgung einer ganzen Stadt vergiftet würde um eine Terroristenzelle auszuschalten.

Aus diesem Grund haben wir eine Studie durchgeführt, um zu sehen, ob tatsächlich das NatriumChlorit "aktiviert" werden muss, um wirksam zu sein.

 

Material und Methode

NatriumChlorit lässt sich in einem speziellen Pufferverfahren stabilisieren, um den vorzeitigen Zerfall zu verhindern. Damit wird die biologische Verträglichkeit verbessert. Trotzdem reagiert die Verbindung überall wo Säuren freigesetzt werden, wie bei vielen Bakterien oder bei der Virusvermehrung. Damit wird NatriumChlorit erst am Ort des Geschehens in die wirksame Form umgewandelt. Die anderen Geweben bleiben verschont.

Es ist bekannt, dass viele Bakterienkulturen sauer werden und typischerweise Milchsäure, Essigsäure und andere einfache Carbonsäuren (organische Säuren) erzeugen. Dieses, den Bakterien sauer umgebenden Milieu, aktiviert das NatriumChlorit und wandelt es in das Chlordioxid um. Dieses starke Oxidationsmittel ist besonders wirksam gegen anaerobe Organismen (leben normalerweise ohne Sauerstoff), weil diese am meisten Säuren ausscheiden. Während dem ersten Weltkrieg wurde diese Eigenschaft bei infizierten Kriegswunden erfolgreich angewendet (Nobelpreisnominierung 1912).

Andere biologische Molekülen wie Fette, Eiweisse, Kohlenhydrate bewegen sich im pH neutralen Bereich und aktivieren somit das stabilisierte NatriumChlorit nicht. Dies erklärt die gute Verträglichkeit.

Germ Swiper

NatriumChlorit als Antipilzmittel

Pilze ziehen sauerstoffarme Lebensräume vor (Fuss-, Nagel-, Hautfaltenpilz). Ein Beispiel ist Candida albicans. Diese scheiden organische Säuren aus, welche wiederum das NatriumChlorit aktivieren.

NatriumChlorit

Naclo2 Aae5da28

Chlordioxid

Clo2 B20a2cca
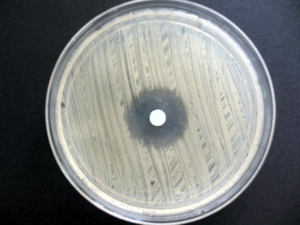
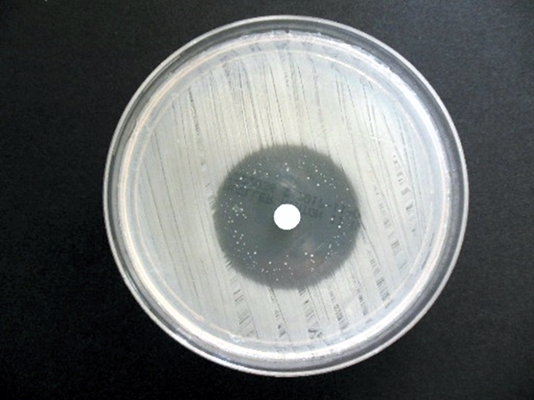
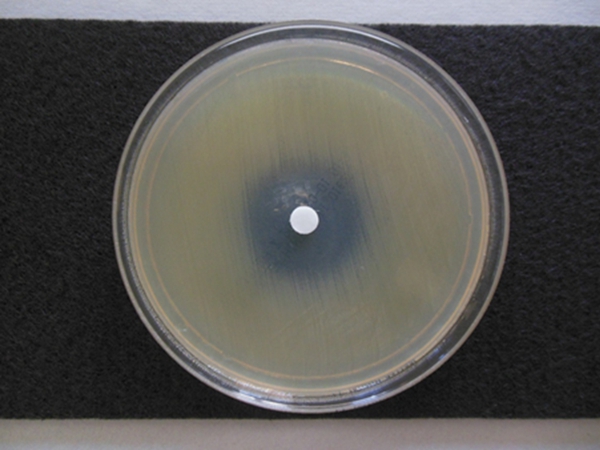
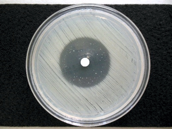
Das Prinzip der Studie

Unterschiedliche Keime, kuliviert auf standard Agarplatten, wurden den verschiedenen Verbindungen ausgesetzt.

  1. NatriumChlorit (Stabilisiert und nicht "aktiviert")
  2. Chlordioxid Lösung (NatriumChlorit durch Zitronensäure aktiviert)
  3. Zitronensäure alleine

Würde das zutreffen, dass NatriumChlorit nicht "aktiv" wäre, so müssten die Hemmhöfe wesentlich kleiner sein als die von der Chlordioxidlösung.

Die Hemmhöfe wurden photographisch dokumentiert und ausgewertet

Resultate der mikrobiologischen Testung von NatriumChlorit

Durchführung

  • 40ul der Lösung wurden auf ein Testdisk aufgetragen
  • Bakterienstamm 0.5McFarland auf MH-Agar ausgestrichen
  • Testdisk auf Agar gelegt und 18h inkubiert

Ablesung

  • Ablesung der Kulturen auf Inhibition (Hof-Bildung)

Interpretation

  • Deutliche Zone um das Disk:
    à spricht wahrscheinlich für eine gute Wirksamkeit
  • Zone mit feinem, auslaufendem Wachstum um das Disk:
    à spricht wahrscheinlich für eine bedingte Wirksamkeit
  • Keine Zone um das Disk:
    à spricht für keine Wirksamkeit

Resultate der mikrobiologischen Testung von Chlordioxid

Durchführung

  • 40ul der Lösung (35ul DXC + 5ul Zitronensäure) wurden auf ein Testdisk aufgetragen
  • Bakterienstamm 0.5McFarland auf MH-Agar ausgestrichen
  • Testdisk auf Agar gelegt und 18h inkubiert

Ablesung

  • Ablesung der Kulturen auf Inhibition (Hof-Bildung)

Interpretation

  • Deutliche Zone um das Disk:
    à spricht wahrscheinlich für eine gute Wirksamkeit
  • Kleine Zone oder Zone mit feinem, auslaufendem Wachstum um das Disk:
    à spricht wahrscheinlich für eine bedingte Wirksamkeit
  • Keine Zone um das Disk:
    à spricht für keine Wirksamkeit

Resultate der mikrobiologischen Testung nur Zitronensäure

Durchführung

  • 40ul der Zitronensäure wurden auf ein Testdisk aufgetragen
  • Bakterienstamm 0.5McFarland auf MH-Agar ausgestrichen
  • Testdisk auf Agar gelegt und 18h inkubiert

Ablesung

  • Ablesung der Kulturen auf Inhibition (Hof-Bildung)

Interpretation

  • Deutliche Zone um das Disk:
    à spricht wahrscheinlich für eine gute Wirksamkeit
  • Kleine Zone oder Zone oder feinem, auslaufendem Wachstum um das Disk:
    à spricht wahrscheinlich für eine bedingte Wirksamkeit
  • Keine Zone um das Disk:
    à spricht für keine Wirksamkeit

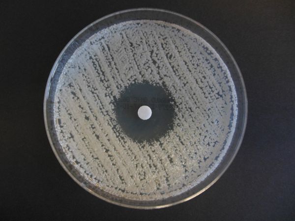
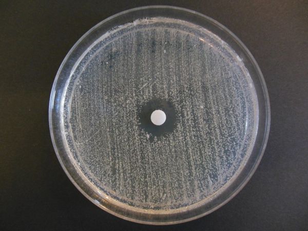
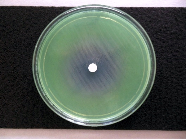
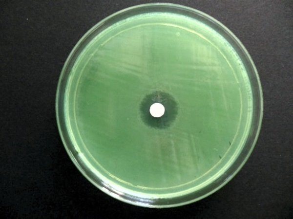
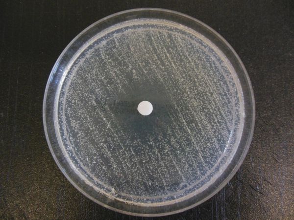
Ergebnisse

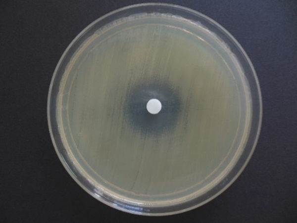
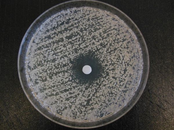
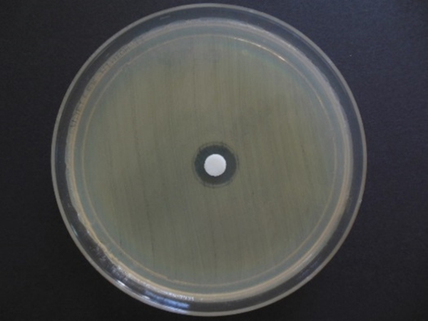
Escherichia coli

mit gepufferten NatriumChlorit

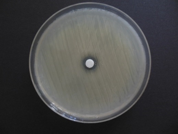
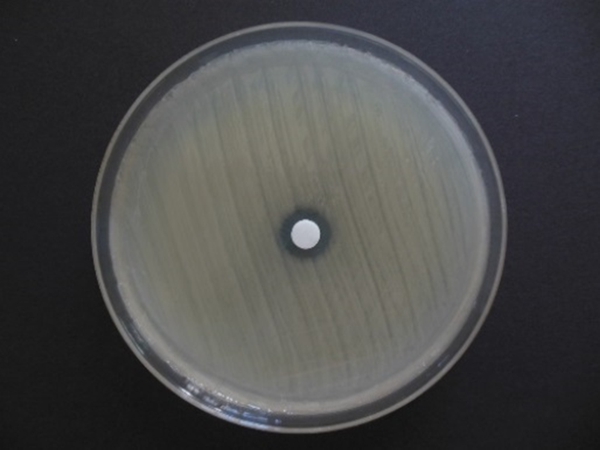
Escherichia coli

mit Chlordioxid Lösung

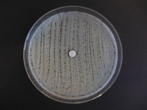
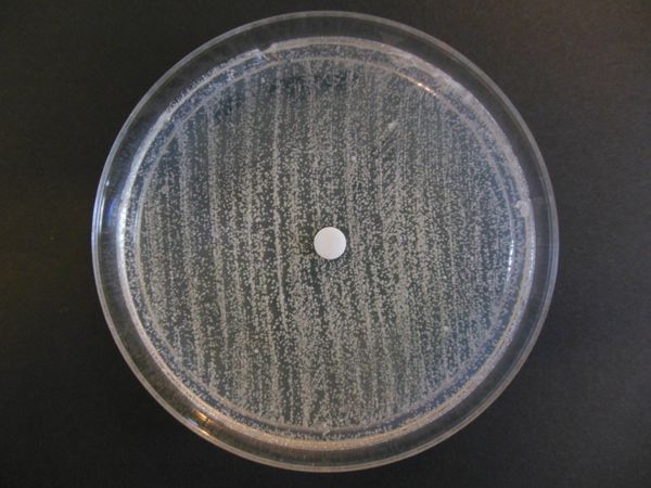
Escherichia coli

mit Zitronensäure

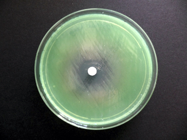
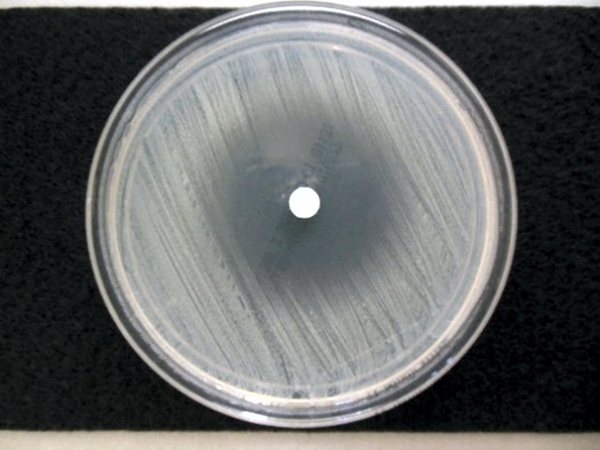
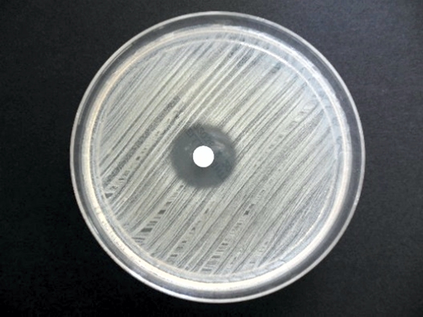
Klebsiella pneumoniae

mit gepufferten NatriumChlorit

Klebsiella pneumoniae

mit Chlordioxid Lösung

Klebsiella pneumoniae

mit Zitronensäure

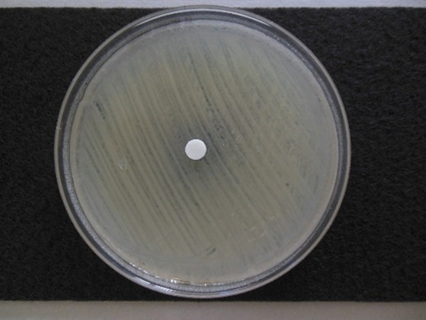
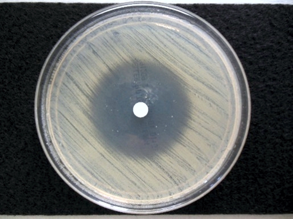
Pseudomonas aeruginosa

mit gepufferten NatriumChlorit

Pseudomonas aeruginosa

mit Chlordioxid Lösung

Pseudomonas aeruginosa

mit Zitronensäure

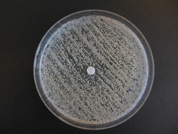
Staphylococcus epidermidis

mit gepufferten NatriumChlorit

Staphylococcus epidermidis

mit Chlordioxid Lösung

Staphylococcus epidermidis

mit Zitronensäure

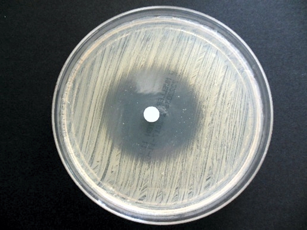
Staphylococcus aureus

mit gepufferten NatriumChlorit

Staphylococcus aureus

mit Chlordioxid Lösung

Staphylococcus aureus

mit Zitronensäure

Staphylococcus aureus MRSA

mit gepufferten NatriumChlorit

Staphylococcus aureus MRSA

mit Chlordioxid Lösung

Staphylococcus aureus MRSA

mit Zitronensäure

Candida albicans

mit gepufferten NatriumChlorit

Candida albicans

mit Chlordioxid Lösung

Candida albicans

mit Zitronensäure

Candida glabrata

mit gepufferten NatriumChlorit

Candida glabrata

mit Chlordioxid Lösun

Candida glabrata

mit Zitronensäure

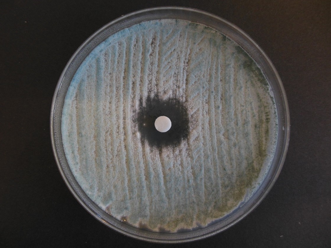
Aspergillus fumigatus

mit gepufferten NatriumChlorit

Aspergillus fumigatus

mit Chlordioxid Lösung

Aspergillus fumigatus

mit Zitronensäure

Saccharomyces cerevisiae

mit gepufferten NatriumChlorit

Saccharomyces cerevisiae

mit Chlordioxid Lösung

Saccharomyces cerevisiae

mit Zitronensäure

Diskussion

Es hast sich herausgestellt, dass auch das "nicht aktivierte" NatriumChlorit durchaus gegen gewisse Keime und Anaerobier wirksam ist. Besonders aufgefallen ist der gefürchtete Spitalkeim MRSA. Gegen Candida albicans hat das NatriumChlorit keine Wirkung. Anderseits greift der aktivierte Form durchaus auch "gesunde" Keime and wie das Saccharomyces cerevisiae.

Somit ist festzuhalten, wenn bekannte empfindliche Keime in Zentrum des Interesses liegen, so ist das nichtaktivierte und gepufferte NatriumChlorit zu bevorzugen.

Anwendungs-Information >>>