Es gibt einige Anzeichen und Symptome, die darauf hindeuten können, dass Zähne Gesundheit beeinträchtigen. Hier sind einige Dinge, auf die Sie achten sollten:
Zahnschmerzen oder Empfindlichkeit: Anhaltende oder wiederkehrende Zahnschmerzen können auf Karies, Infektionen oder andere Zahnprobleme hinweisen, die Ihre Gesundheit beeinträchtigen können.
Schwellungen im Mund oder Gesichtsbereich: Schwellungen können auf eine Infektion hinweisen, insbesondere wenn sie von Schmerzen, Rötungen oder einer erhöhten Temperatur in der betroffenen Region begleitet werden.
Veränderungen im Zahnfleisch: Rötungen, Schwellungen, Blutungen oder Rückgang des Zahnfleisches können Anzeichen von Zahnfleischerkrankungen sein, die unbehandelt zu weiteren gesundheitlichen Problemen führen können.
Schlechter Atem: Anhaltender schlechter Atem, der nicht auf Nahrungsmittel oder andere offensichtliche Faktoren zurückzuführen ist, kann auf Zahnprobleme oder Infektionen im Mund hinweisen.
Lose Zähne oder Veränderungen in der Ausrichtung der Zähne: Diese können auf fortschreitende Zahnfleischerkrankungen oder andere ernsthafte Probleme hinweisen.
Wiederkehrende Mundgeschwüre oder weiße Flecken im Mund: Diese könnten auf eine Infektion oder auf ernsthaftere Erkrankungen wie orale Präkanzerosen hinweisen.
Allgemeine Müdigkeit oder Unwohlsein: Manchmal können schwerwiegende Zahninfektionen sich auf den allgemeinen Gesundheitszustand auswirken.
Zahnärzte wurden dahingehend geschult, Zähne zu erhalten. Dies ist für einen funktionstüchtigen Gebiss zweifelsohne essentiell. Je nach Zahnbeschwerden wird der Zahnarzt sich für eine Wurzelbehandlung entscheiden. Diese ist notwendig, um bspw. entzündliche Schmerzen auszuschalten. Das Problem dabei ist, dass der ZA den Zahn abtöten muss, wird aber häufig mit der Erklärung begründet: Ich werde versuchen den Zahn zu "retten". Die Rettung besteht anatomisch und physiologisch darin, den Zahn seinen Gefässen, Nerven und Lymphe zu entledigen. Mit anderen Worten wird der Zahn faktisch nicht "gerettet" sondern "ermordet". Nun soweit gut... Der Patient freut sich seiner neu gewonnenen Schmerzfreiheit und den Erhalt seiner Kaufunktion.
Für Risiken und Nebenwirkungen fragen Sie Ihren Zahnarzt.
Das ist leider tatsächlich ein Niemandsland in der Zahnmedizin. Keine meiner bisherigen Patienten, welche solche Behandlungen über sich ergehen lassen mussten, wurden im geringsten Aufgeklärt. Und wenn, dann in der Regel wurde der Eingriff verharmlost - Keine Folgen für den Patienten.
Nun trifft folgendes zu:
Es gibt keine andere medizinische Fachrichtung, die etwas abgestorbenes im Körper zurücklassen würde!
Nun das trifft auch zu, zumindest kurzfristig. Ein wurzeltoter Zahn bleibt über Jahre hinweg folgenlos für die Gesundheit.
Auf einmal beginnen sich, chronische Beschwerden zu manifestieren.
u.v.m.
Wer bringt diese mit der Zahnbehandlung vor 10 Jahren in Verbindung? Statt dessen werden "Diagnosen" erstellt wie CFS, FMS, ME, RA, ND, IBS usw. und werden allesamt zwangsläufig symptomatisch behandelt. Viele der betroffenen könnten aber geheilt werden, würden die Zähne in die Überlegung eingebracht werden.
Beginnen Sie sich, darüber Gedanken zu machen falls
Bedauerlicherweise reicht es nicht aus, wenn der Zahnarzt mitteilt, es ist "alles in Ordnung", es sei denn, der Zahnarzt praktiziert eine wissenschaftlich fundierte ganzheitliche Zahnmedizin.
Die Abklärung beinhaltet folgende Schritte:
Hier sind die Zähne vollständig zu sehen, im Gegensatz zu den sog. Bite Wings, wo es nur darum geht, zu erkennen, ob Karies an den Zahnhälsen vorliegt.
In diesem Bild erkennen wir alles gesunde Zähne, die Wurzeln sind mit dem Kieferknochen verbunden. Die Weisheitszähne fehlen und es liegt ein Implantat im linken Unterkiefer vor (Betrachtung ist immer spiegelbildlich!) welches gut mit dem Knochen verheilt ist. Die Zähne sind somit kaum für Beschwerden verantwortlich. Eine weitere Abklärung drängt sich nicht auf.
Dies im Gegensatz zu diesem Patienten:

Es liegen hier viele wurzelbehandelte Zähne vor, welche zudem schlecht gemacht wurden, und entsprechend viele Hinweise auf gesundheitlich belastende Zustände.

Schlechte Wurzelbehandlungen sind auch erkennbar an den unregelmässigen Rändern welche die meisten der wurzelbehandelten Zähnen aufweisen (vergleichen Sie mit dem grünen guten wurzelbehandelten Zahn.).
Sollte so jemanden sich über chronische Entzündungen beschweren, so ist es Pflicht von jedem Arzt und Zahnarzt, solche potentielle Herde in den Überlegungen mit einzubeziehen.
Die meisten Ärztinnen und Ärzte schauen in den Mund bzw. in den Hals, ignorieren dabei die Zähne. Dabei sind es die Zähne, welche am meisten über die Gesundheit aussagen.
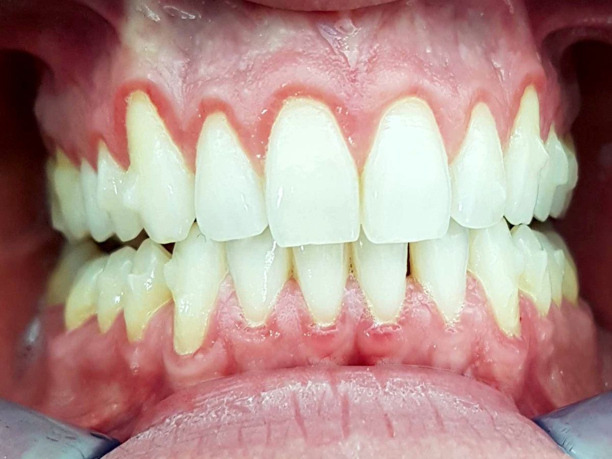
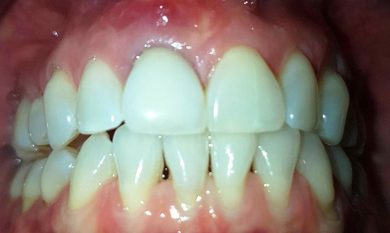
Zuerst müssen wir uns vergegenwärtigen wie gesunde Zähne aussehen:

Das Zahnfleisch ist homogen hell-pink, die Zähne alle weiss.

Die Zahnhälse sind gerötet und empfindlich, bluten rasch.

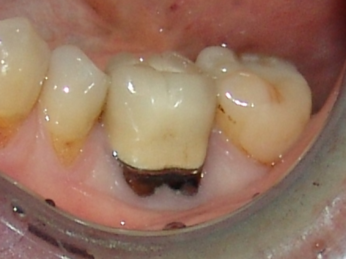
Sofern der Zahnhals freiliegt sind die Zähne dunkel verfärbt (Schwarz ist die Farbe des Todes). Bei diesem Zahn ist auch noch eine Silberkrone zu erkennen, was unter Umständen die Giftigkeit des Zahnes noch weiter erhöht.

Bei diesem überkronten wurzelbehandelten Zahn ist der dunkle abgestorbene Teil wieder gut zu erkennen. Aber hier soll noch etwas hervorgehoben werden. Das Zahnfleisch welches den Zahn umrandet ist deutlich gräulich sulzig verändert. Diese ist häufig auf die Einwirkung der Bakterien und Toxinen zurückzuführen.
Entzündete Zähne müssen nicht, wie bereits erwähnt, Schmerzen bereiten. Aber auf Druck können sie durchaus empfindlich sein. Beim Druck muss die Empfindung mit der Gegenseite vergleichen, denn auch gesunder Zahnfleisch kann empfindlich sein. Somit muss die Schmerzempfindung auf der verdächtigen Seite deutlich stärker sein.

Diese Untersuchung kann jeder für sich ohne weiteres durchführen.
Aus diesem Grund müssen diese tote Zähne weiter auf krankmachenden Faktoren abgeklärt werden. Unter dem wurzeltoten Zahn 35 können sich eine Entzündung verbergen. Hier wird es es notwendig sein, eine 3D Aufnahme anzufertigen. Zur Erinnerung, spontane Schmerzen liegen nicht vor.
Diese Untersuchung lässt sich problemlos und schmerzfrei mittels kontaktloser Temperaturmessung durchführen. Die kontaktlose Messung hat vor allem während der Pandemie an Popularität gewonnen. Nun kann die gleiche Messung uns helfen, Zahnherde aufzudecken.
Hier eine Infrarotthermographie des Mundes bei der eine Seitendifferenz deutlich zu sehen ist als Hinweis für eine Entzündung dort wo die rote Farbe intensiver vorkommt.
Das Zahnfleisch ist in der Regel widerstandsfähig, wenn man bedenkt, welche Strapazen das Zahnfleisch manchmal aushalten muss, wenn gewissen Speisen gekaut werden. Jede Art von Blutung ist pathologisch, kann aber vom einfachen Zahnstein über Karies bis hin zu den toxischen Zähnen reichen.

Hier ist ein wurzelbehandelter Frontzahn durch die Verfärbung des Zahnfleisches zu erkennen.

Heftige Blutung nach Sondierung dieses Zahns. Die Blutung verteilt sich auf auf die gesunde Zähne.

Folgende Tests haben sich bei der Abklärung von Zahnherden besonders bewährt.
Gerne verweise ich hier auf unser Partnerlabor IMD in Berlin:
Der OroTox-Test liefert Hinweise, ob zwischen "unerklärlichen" Symptomen und vor Jahren wurzelbehandelten und/oder abgestorbenen Zähnen ein Zusammenhang besteht. Mit einer feinen Papierspitze wird auf schmerzlose Weise eine kleine Menge Flüssigkeit aus der betroffenen Zahntasche entnommen und mit verschiedenen Chemikalien vermischt. Die Menge der Giftabsonderung kann darauf auf Grund der Farbänderung abgelesen werden.
Damit wird eine schnelle, objektive und zuverlässige Entscheidung ermöglicht, welche Zähne zu verdächtigen und zu behandeln sind und welche ohne weitere Massnahmen erhalten werden dürfen - ohne Gefahr einer Streuung von Bakterien und deren Toxine im Organismus.
Im positiven Fall weiss der Zahnarzt, dass die geprüften Zähne weiterer Behandlungen wie bspw. einer gründlichen Zahnreinigung bedürfen. Eine nochmalige OroTox Analyse lässt erkennen, ob die gewünschte Zahngesundheit erreicht wurde.
Was misst der OroTox Test?
Der OroTox untersucht Stoffwechselprodukte von Bakterien aus Zahnfleischerkrankungen, infizierten und toten, wurzelbehandelten Zähnen. Die am besten erforschten giftigen Substanzen sind reaktionsfreudige Schwefelverbindungen wie Schwefelwasserstoff (H2S) und Methylmercaptan (CH3SH). Belastend für den Organismus sind sie deshalb, weil sie Enzyme, die unseren Stoffwechsel ermöglichen, hemmen können. Zudem stellt der Test noch optional durch die Messung von Eiweiss fest, ob und wie stark das Zahnfleisch entzündet ist.

Das Ergebnis wird anhand einer Skala abgelesen.
Tatsächlich lässt sich eine solche Zahn-Diagnose nicht einfach durch einen einzigen Test bestimmen. Es handelt sich um eine sogenannte Summationsdiagnostik, bei der verschiedene Faktoren und Symptome zusammen betrachtet werden müssen, insbesondere wenn es um so gravierende Massnahmen wie das Ziehen eines Zahnes geht.
In diesem Kontext ist es entscheidend, den potenziellen Zusammenhang zwischen Zahnproblemen und chronischen Erkrankungen genau zu untersuchen. Die Entscheidung, einen Zahn zu ziehen, darf erst nach sorgfältiger Abwägung aller relevanten medizinischen Informationen getroffen werden, um sicherzustellen, dass dies im besten Interesse der Gesundheit und des Wohlbefindens des Patienten ist.
Während meiner 40-jährigen medizinischen Erfahrung habe ich festgestellt, dass die oft zitierte Schwermetallbelastung durch Amalgamfüllungen im Vergleich zu wurzeltoten Zähnen ein deutlich geringeres Krankheitspotential aufweist. Erstaunlichere Heilerfolge wurden durch die Identifikation und Entfernung von toten Zähnen erzielt als durch die Sanierung von Amalgamfüllungen, obwohl auch dort vielen Patienten geholfen werden konnte.
Ein Beispiel ist ein Musiker, der aufgrund chronischer Entzündungen etwa 10 Jahre lang invalidisiert und praktisch bettlägerig war. Kein Arzt konnte ihm helfen, bis ein Blick auf sein Zahnröntgenbild den Beginn seiner Heilung einleitete. Nicht nur wurzeltote Zähne machten ihn zu schaffen, sondern auch Belastung durch Amalgamfüllungen. Eine solche Kombination kann die schädliche Auswirkung auf den Organismus vervielfachen. Nach einer vollständigen Zahnsanierung und Entgiftung kehrte er ins Leben zurück und ist inzwischen ein bekannter Musiker in den USA. Er kann wieder komponieren, singen und tanzen, was bis zur Zahnsanierung unvorstellbar war.