Das Niemandsland in der Medizin

Erkennen Sie toxische wurzeltote Zähne

Und endlich wieder Gesund!

Die unterschätzten Gefahren unserer Zähne

Oft als selbstverständlich angesehen, spielen unsere Zähne eine wesentliche Rolle in unserem täglichen Leben. Sie sind nicht nur für das Kauen und die Verdauung unerlässlich, sondern auch für unsere Gesundheit und unser Wohlbefinden von großer Bedeutung. Doch hinter dem alltäglichen Lächeln können sich Risiken verbergen, die wir selten in Betracht ziehen. Zahnprobleme können weitreichende Auswirkungen haben, von Zahnschmerzen bis hin zu ernsteren Gesundheitsproblemen.

Die Gefahren, die von den Zähnen ausgehen können, sind vielfältig und oft unterschätzt. Hier sind einige Beispiele:

  • Parodontitis (Zahnfleischerkrankungen): Eine Entzündung des Zahnfleisches und der umliegenden Gewebe kann zu Zahnlockerung und -verlust führen. Parodontitis wird auch mit anderen gesundheitlichen Problemen wie Herzkrankheiten und Diabetes in Verbindung gebracht.
  • Schwermetallbelastungen: Füllungen wie Amalgame und Gold enthalten Bestandteile, die toxisch für den Körper sein können, wie Quecksilber, Palladium oder Platin.
  • Endodontie: Die Wurzelbehandlung ist ein Standardverfahren beim Zahnarzt und wird millionenfach jährlich durchgeführt. Sie kann kurzfristig hilfreich sein, birgt jedoch ein hohes Potential für "unerklärliche" chronische Krankheiten nach vielen Jahren.

Diese Ausführungen konzentrieren sich auf die gesundheitliche Bedeutung von endodontischen, toten Zähnen.

Die Wurzelbehandlung als Gesundheitliches Risiko

Die Endodontie, oder die Wurzelbehandlung, dient seit Jahrzehnten der Zahnerhaltung. Dies ist auch auf der Fahne der Schweizerischen Gesellschaft für Endodontologie geschrieben:

Die Endodontologie dient dem Zahnerhalt. Sie erreicht dies durch schonende Massnahmen, die dem Verbleib der eigenen Zähne im Mund dienen.

Brisant wird diese Aussage bei der Interpretation dieser Devise. Es wird nicht auf die Gesundheit eingegangen sondern ausschliesslich dem mechanischen Erhalt der Zähne. Der Zustand der Zähne, inkl. Auswirkung auf die Gesundheit ist kein Thema.

Jede Wurzelbehandlung bedeutet, der Zahn wird abgetötet.

Es werden Gefässe, Nerven und Lymphe aus dem Zahn ausgeräumt. Somit entspricht dieser Behandlung einem künstlichen Zahn-Totalinfarkt.

Und dies sei vorweggenommen:

Die Zahnmedizin ist das einzige medizinische Fachgebiet welches etwas im Körper devitalisiert und dazu noch im Körper zurücklässt. Kein Chirurg käme auf ähnliche Gedanken, bei einem diabetischen Fuss, ihn dranzulassen, damit der Schuh besser passt.

Worin liegt der Unterschied?

Die Zähne reagieren extrem langsam. Es können Jahre bis Jahrzehnte vergehen, bis sie eine Belastung für den Organismus werden. Und viele werden gar nie zu einem Problem.

Damit stellt sich die essentielle Frage: Bin ich gefährdet?

Grundlagen

Goldkrone 6c4a72f3

 

Bereits Anfangs des letzten 20. Jhd. hat Dr. William Hunter in seiner damals revolutionäre Arbeit "Die Rolle von Sepsis und Antisepsis in Medizin" beschrieben, wie die Goldkrone ein Risiko darstellen kann:

Die Goldkrone als "ein Mausoleum von Gold über eine Masse von Sepsis".

Leider gilt diese Aussage nicht nur für überkronte sondern für alle wurzelbehandelten Zähne. Jeder solcher Zahn ist langfristig (Jahre bis Jahrzehnte!) ein Risiko für die Gesundheit. Dank Fortschritte in der analytischen Chemie, vor allem durch die Arbeiten von Prof. Boyd Haley sind wir heute in der Lage, solche Risikofaktoren rechtzeitig zu erkennen.

Zähne als gesundheitliches Risiko

Anaerobier in den Dentinkanälen von avitalen und endodontisch behandelten Zähnen produzieren häufig hohe Konzentrationen von gesundheitlich bedenklichen chemischen Verbindungen. Orale Infektionen und Herde sind deshalb in der Lage, die Pathogenese und den Verlauf vieler chronsicher Erkrankungen und Beschwerdebilder auszulösen und zu beeinflussen.

"Dental infections rank as the most universal affliction of humankind. The discomfort caused by these infections and their enormous cost (dental infections rank third in medical costs, behind heart disease and cancer, in the United States) gives dental diseases prominence..."

"Oral infections influence the pathogenesis of many diseases and conditions. An assessment of health status must include that of the oral cavity."

"There are numerous dental reviews that link periodontal disease to systemic illnesses. Part of the job of a dentist is to convince the patient that they truly have a problem in the mouth that can affect their general health. This is especially true for pregnant mothers."

Statements from Tom E. Levy, MD, JD
  • Root canal procedures assure that a state of chronic infection and toxicity will result, even if the tooth remains pain-free.
  • Pathogens and toxins in a root canal-treated tooth are readily disseminated from the venous blood drainage to the coronary artery endothelium, initiating the process of atherosclerosis.
  • The lymphatic drainage from such teeth allows a similar dissemination of pathogens and toxins to the breast, particularly in an ipsilateral fashion.
Patienten mit Parodontalerkrankungen weisen
  • ein 1.5 - 4.0x grösseres Risiko auf, einen cardiovaskulären Insult zu erleiden
  • ein 1.5x grösseres Risiko für eine chronisch obstruktive Lungenerkrankung.
  • ein 6x grösseres Risiko für einen Diabetes mellitus.
  • ein gehäuftes Auftreten auf von rheumatischen Erkrankungen.
  • Frauen mit Parodontitis weisen 7-faches Risiko auf für Frühgeburten oder untergewichtige Neugeborene.

Das kann nicht gesund sein!

31284a C46767f1

Wissenschaftliche Grundlagen

Dass die Zähne eine wichtige Rolle in der Erhaltung der Gesundheit spielen, ist allgemein bekannt. Die Wechselwirkungen sind mannigfaltig und beruhen auf Aspekten der Ästhetik, Mimik, Kaufunktion und der Toxikologie. Neueste Forschungen aus den USA schliesst nun die Lücke der Objektivierbarkeit in der Bewertung von oraltoxischen Belastungen. In diesem Zusammenhang gewinnen die Zähne eine völlig neue Dimension in der Pathogenese von Krankheit und der Erhaltung der Gesundheit. Prof. Boyd Haley hat Zähne als eine potentielle Quelle extrem toxischer Substanzen identifiziert. Dies war das Ergebnis von mehr als 35 Jahren Forschung auf dem Gebiet von Protein-Biochemie, Schwermetall-Neurotoxizität und neurodegenerativen Erkrankungen.

Studien zeigten, dass die Dentinkanäle von avitalen, endodontisch behandelten und vitalen aber paradontal erkrankten Zähnen viele verschiedene Bakterien beherbergen können.

Dentinkanäle unter dem Elektronenmikroskop
Dentinkanaele

Die darin hausende Bakterien sind mit Antibiotika und lokalen Desinfektionsmitteln praktisch nicht zu erreichen. Sie stellen deshalb ein konstantes Reservoir für bakterielle systemische Infekte dar. Viele dieser Bakterien wurden auch mit Paradontose in Zusammenhang gebracht (Streptokokken, Peptostreptokokken, Eubakterien, Bakteroides, Fusobacterium, Aktinomyces). Sie produzieren ständig toxische Metabolite, u.a. flüchtige Schwefelwasserstoffverbindungen wie Methylmercaptan und Schwefelwasserstoff, kurzkettige Fettsäuren wie Propionsäure und Buttersäure, Polyamine wie Putrescin und Cadaverin, wie auch weitere bakterielle Eiweisse, wie Proteasen und Phosphatasen aber auch Antigene (Lipopolysaccharide). Neben den Bakterien können diese Toxine resorbiert und systemisch verbreitet werden mit zum Teil ernsthaften gesundheitlichen Folgen wie:

  • Endocarditis
  • Infarkt
  • Apoplexie
  • Hypertonie
  • Arteriosklerose
  • Augenleiden
  • Pneumonien
  • Hämatologische Erkrankungen
  • Arthritiden
  • Infektionen von Gelenks-Implantaten
  • Hirn-Abszessen
  • Alzheimer
  • Niedriger Geburtsgewicht

Viele dieser Bakterientoxine und -proteine können im Sulcusfluid infizierter Zähne nachgewiesenwerden.

In devitalen Zähnen ist der endodontische Kreislauf gestört und eine Grundvoraussetzung dafür, dass solche Zähne mit den Jahren eine gesundheitliche Belastung darstellen können.

Der endodontischer Kreislauf

Endo Kreislauf Schema Bd6c4792
 
Links sind die Arterien, Venen, Nerven und Lymphgefässe intakt. Es fliesst Lymphe von Innen nach Aussen und spült die Dentinkanäle sauber.
Rechts ist der Zahn wurzelbehandelt. Der Kreislauf ist besteht nicht mehr. Dies entspricht tatsächlich einem Zahn-Infarkt. Somit fliesst die Lymphe nicht mehr auswärts und die vielen Bakterien an den Zähnen (Biofilm) können in die Dentinkanälen eindringen und sich dort vermehren.

Der Vergleich...

Gesunde saubere Dentinkanäle ohne wesentliche bakterielle Besiedlung
Dentin Gesund
Dentinkanäle eines toten Zahns - Voll mit Bakterien
Dentin Krank

Aus der Forschung

Das mit einem Absorberstift aus dem Sulcusfluid gewonnene Probenmaterial wird mit einer Mischung von gereinigten Proteinen (ATP bindende Enzymen) während 60 Minuten inkubiert und anschliessend mit radioaktiv markiertem ATP, [32P]N3ATP aufgesättigt und mit UV-Licht fixiert ("photolabeling"). Je mehr ATP-Bindungsstellen an den Enzymen durch Toxine besetzt werden, um so geringer wird die radioaktive Abstrahlung. Mittels anschliessender Elektrophorese (SDS-PAGE) und Autoradiographie (Messung der Radioaktivität) lassen sich die verschiedenen Toxine darstellen und quantifizieren.

Elektroph
Autoradio
Gemeinsamkeiten der verwendeten Enzyme

Alle Test-Enzyme haben etwas sehr wichtiges gemeinsam. Jedes ist entweder direkt oder indirekt an der Produktion von ATP, die Energiewährung aller Zellen, beteiligt. Die Hemmung ihrer Aktivität bedeutet somit für die betroffenen Gewebe oder Organe eine nicht zu unterschätzende Belastung.

Befundbeispiele

Sodium-dodecyl-sulfat-polyacrylamid Gel Elektrophorese
Elektrophorese Gel
Autoradiogramm
Radiogram

Die Abbildungen demonstrieren, wie bakterielle Toxine von GCF Proben die Test-Enzyme, insbesondere Pa und PGK hemmen. Proben von unterschiedlichen Zähnen jedoch vom gleichen Patient zeigten grosse Unterschiede im toxischen Profil. Auffällig ist vor allem die 90 prozentige (!) Hemmung der Test-Enzyme durch die Toxine eines endodontisch behandelten Zahnes in Bahn 2 im Vergleich zu der Kontrolle in Bahn 3, erkennbar durch die Abblassung der Banden.

Die gleiche Probe (Bahn 2) wies auch hohe Konzentrationen von bakteriellen Proteasen auf, die die Creatin-Kinase (CK) zersetzten (blaue Pfeile).

Die dichten Banden in einigen der GCF Proben (grüne Pfeile in Bahnen 7, 11 & 14, beide Abb.) stellen die humane alkalische Phosphatase als Entzündungsprodukt dar (H-AP). Die alkalische Phosphatase resorbiert ebenfalls radioaktives ATP, weshalb auch diese in der Autoradiographie intensive "leuchten". Das deutlich zu erkennende Protein in Bahn 16 vom Autoradiogramm (weisser Pfeil), welches sich in der reinen Elektrophorese dem Nachweis entzog (rosa Pfeil), ist die aus den bakteriell besiedelten Dentinkanälen heraussickernde bakterielle alkalische Phosphatase (B-AP). Die Höhe der Konzentrationen beider dieser Phosphatasen korreliert signifikant mit der Intensität einer paradontalen Erkrankung.

Humanes Serumalbumin (Alb, rote Pfeile) wird auch unterschiedlich nachgewiesen. Dieses Serumeiweiss wird normalerweise nur im zirkulierenden Blut gefunden. Erhöhte Werte deuten deshalb auf eine gesteigerte Permeabilität der gingivalen Schleimhaut hin, möglicherweise als Folge von entzündlichen Reaktionen.

Die Identifizierung und Lokalisierung von Herden
Mit dieser Analyse lassen sich dramatische Unterschiede der bakteriellen toxischen Metaboliten und Proteinen in den Proben nachweisen. Diese Selektivität erlaubt eine zuverlässige Identifizierung und Lokalisierung von Herden. Als Beispiel seien die Bahnen 12 - 17 aufgeführt. Sechs GCF Proben wurden vom gleichen Patienten analysiert: eine Kontrolle (17), zwei wurzelbehandelte Zähne (13, 14) und drei avitale Zähne (12, 15, 16). Die Resultate zeigen klar, dass der Herd vor allem im wurzelbehandelten Zahn Bahn 14 zu suchen ist. Die radioaktive Markierung aller Enzyme wurde zu 90% unterdrückt, während alle anderen kaum beeinflusst wurden. Nur in einer der Proben (Bahn 16, weisser Pfeil im Autoradiogramm) wurde noch bakterielle alkalische Phosphatase als Hinweis auf eine Entzündung gefunden.

Bakterielle Toxine und Amalgam / Quecksilber

Bakterielle Toxine können in Kombination mit Quecksilber aus Amalgam sich zu weit toxischeren Verbindungen zusammenschliessen. Die Synthese wird in den folgenden drei Abbildungen zusammengefasst.

Die Aminosäuren L-Methionin und L-Cystein werden von den Bakterien zu Methyl-Mercaptan resp. Schwefelwasserstoff umgewandelt

Ch3sh C26d7e7f
H2s F9217239

"Super Toxins" nach Prof. Boyd Haley

Supertoxins 7e6d981a
Prof. Boyd Haley war der Chefbiochemiker an der Lexington Universität in Kentucky. Er forschte 35 Jahre an die gesundheitsschädigende Wirkung von Quecksilber und wurzeltoten Zähnen. Er hat auch den Begriff der Supertoxine hervorgebracht welche entstehen durch die Verbindung von Quecksilber aus Amalgam mit den Toxinen aus avitalen Zähnen.
31284 Hg%2Bwb Dd4cfe8c
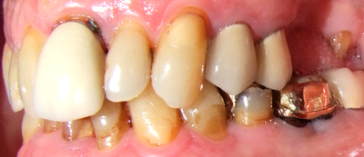
Hier "in Echt" bei einem Patienten mit chronischer Prostatitis...
Beim Zahnarzt sei alles "okay"...

Alzheimer - Link

Wissenschaftliche Studien belegen, wie Schwermetalle, insbesondere Quecksilber, zusammem mit den bakteriellen Toxinen, Nervengewebe belastet. Gemeinsam mit den bakteriellen Toxinen wird das nun organische Quecksilber fettlöslicher und erreicht damit rascher das Nervengewebe. Intaktes Tubulin ist Voraussetzung für den neuronalen Transport und die Versorgung der Axone. Beta-Tubulin weist reichlich Sulfhydryl-Gruppen auf, die mit Schwermetallen rasch eine stabile Bindung eingehen. Dadurch wird der Landeplatz für das notwendige GuanosinTriPhosphat (GTP) fremdbesetzt. Die Tubulin-Polymerisation zu Mikrotubuli und damit die Versorgung und Regeneration des Axons fällt aus. Zudem hemmen Bakterientoxine die Creatin-Kinase und folglich auch die Transformation von GDP zu GTP.

Video unten

  1. Normales Alpha (rot) und Beta(weiss)-Tubulin (Mikrotubuli) umhüllt Neurofibrillen. Die Mikrotubuli sind u. A. für die Nährstoffversorgung des langen Axons verantwortlich.
  2. Quecksilber besetzt die GTP Andockungsstellen an den Beta Untereinheiten des Tubulins.
  3. Ohne die Energieversorgung mittels GTP zu GDP löst sich das Tubulin auf, die Nerven gehen zu Grunde.
  4. Die Neurofibrillen liegen dann brach, die sich zusammenknäueln und ein ähnliches mikroskopisches Bild präsentiert wie beim Alzheimer.